أطباء بنها الجامعي ينجحون في إنقاذ شاب من الموت المحقق نتيجة طعنة مطواة بالصدر
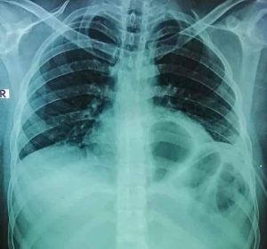
كتب /محمد علي نجح اطباء قسم جراحة القلب والصدر بمستشفى بنها الجامعى في إنقاذ حياة شاب تعرض لطعنة مطواة بالصدر من الأمام علي الجهة اليسرى وخروج جزء من الأمعاء ودخولها لمنطقة الصدر بعد اختراق الحجاب الحاجز. قال الدكتور محمد الجزار استاذ جراحة القلب والصدر
مشاركة
كتب /محمد علي
نجح اطباء قسم جراحة القلب والصدر بمستشفى بنها الجامعى في إنقاذ حياة شاب تعرض لطعنة مطواة بالصدر من الأمام علي الجهة اليسرى وخروج جزء من الأمعاء ودخولها لمنطقة الصدر بعد اختراق الحجاب الحاجز.
قال الدكتور محمد الجزار استاذ جراحة القلب والصدر بمستشفى بنها الجامعى أن المريض حضر للمستشفي يعاني من نزيف وتجمع دموي بالغشاء البللوري المحيط بالرئة اليسرى نتيجة طعنة وتم تركيب درنقة صدرية لتفريغ الدم المتجمع
أضاف أنه بعد عمل الأشعة المبدئية تبين وجود اشتباه وجود جزء من المعدة والامعاء بالقفص الصدري وبعد تفريغ الدم المتجمع تم تحضير المريض لجراحة استكشاف صدري عاجلة و تبين أن المطواة أدت الي فتحة دخول من القفص الصدري تحت الرئة اليسري مخترقةً الحجاب الحاجز من الأمام ثم اخترقت تجويف البطن وادت الي فتحة خروج في الحجاب الحاجز من الخلف بجانب الشريان الاورطي ب ٢ سم فقط في تجويف الصدر من جديد.
أكد الجزار أن العناية الإلهية كانت بجانب المريض حيث ان هذا الاختراق الخطير لم يؤدي الي جرح الأمعاء او المعدة أو الكبد او الرئة او الشريان الرئيسي برغم ان اتجاه المطواه في وسط كل هذه الأعضاء الخطيرة ولذلك تم السيطرة علي النزيف واعادة الامعاء الي تجويف البطن من جديد وخياطة الحجاب الحاجز في الفتحتين.
وشارك في إجراء الجراحة الدكتور يسري شاهين والدكتور محمود عبد العظيم والدكتورة نها عبد القادر والدكتورة فاطمة محمود وقام بالتخدير الدكتورة أسماء فتح الباب.
أضاف أنه بعد عمل الأشعة المبدئية تبين وجود اشتباه وجود جزء من المعدة والامعاء بالقفص الصدري وبعد تفريغ الدم المتجمع تم تحضير المريض لجراحة استكشاف صدري عاجلة و تبين أن المطواة أدت الي فتحة دخول من القفص الصدري تحت الرئة اليسري مخترقةً الحجاب الحاجز من الأمام ثم اخترقت تجويف البطن وادت الي فتحة خروج في الحجاب الحاجز من الخلف بجانب الشريان الاورطي ب ٢ سم فقط في تجويف الصدر من جديد.
أكد الجزار أن العناية الإلهية كانت بجانب المريض حيث ان هذا الاختراق الخطير لم يؤدي الي جرح الأمعاء او المعدة أو الكبد او الرئة او الشريان الرئيسي برغم ان اتجاه المطواه في وسط كل هذه الأعضاء الخطيرة ولذلك تم السيطرة علي النزيف واعادة الامعاء الي تجويف البطن من جديد وخياطة الحجاب الحاجز في الفتحتين.
وشارك في إجراء الجراحة الدكتور يسري شاهين والدكتور محمود عبد العظيم والدكتورة نها عبد القادر والدكتورة فاطمة محمود وقام بالتخدير الدكتورة أسماء فتح الباب.